What Is Gingivitis?
With early care, gingivitis is fully reversible. This guide explains the symptoms, causes and treatment options.
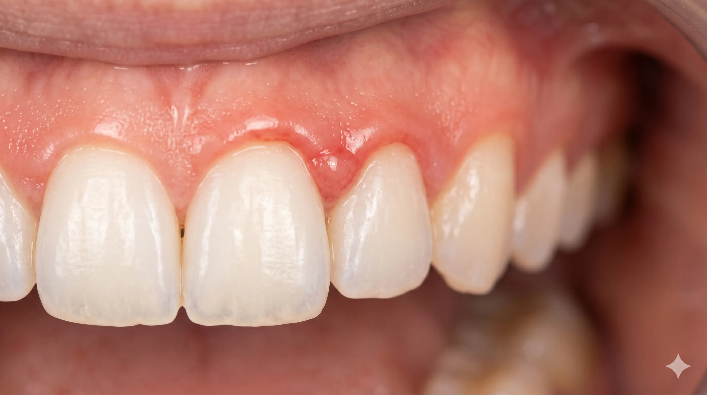
Symptoms of Gingivitis
Early Symptoms
- Red, swollen gums (healthy gums are pink and firm)
- Bleeding on brushing or flossing
- Tenderness of the gums
- Bad breath (halitosis)
Advanced Symptoms (Progression to Periodontitis)
- Gum recession (teeth look longer)
- Loose teeth
- Increasing gaps between teeth
- Pus discharge
- Pain on chewing
💡 At the gingivitis stage, treatment is simple. If it progresses to periodontitis, bone loss can start and treatment becomes more complex.
Causes of Gingivitis
- Poor oral hygiene — the commonest cause
- Tartar (calculus) build-up — hardened plaque that cannot be removed by brushing
- Smoking — impairs gum blood flow
- Hormonal changes — pregnancy, puberty, menopause
- Diabetes — poor blood-sugar control raises the risk of infection
- Certain medications — antihypertensives and antiepileptics (gum overgrowth)
- Stress — weakens the immune system
- Genetic predisposition — family history matters
What Helps Gingivitis?
Home Measures
- Correct brushing technique: Soft-bristled brush at a 45° angle, twice a day, for at least 2 minutes
- Flossing: Once a day, between all teeth
- Salt-water rinse: 1 cup of warm water + 1 teaspoon of salt — 2–3 times a day
- Antibacterial mouthwash: Chlorhexidine-based, short-term use
- Stop smoking: The single most important lifestyle change
Professional Treatment
- Scale and polish: Ultrasonic removal of plaque and tartar (every 6 months)
- Subgingival debridement (curettage): Cleaning under the gum line (for moderate-to-advanced cases)
- Root surface debridement: For deep pockets (periodontitis treatment)
- Laser therapy: Bacterial elimination and tissue healing
- Antibiotics: Local or systemic antibiotics in advanced infection
Gingivitis vs Periodontitis
| Criterion | Gingivitis | Periodontitis |
|---|---|---|
| Bone loss | None | Present |
| Reversibility | Fully reversible | Permanent damage |
| Treatment | Cleaning + hygiene education | Debridement, surgery |
| Risk of tooth loss | None | Present |
| Tooth mobility | None | Possible |
Preventing Gingivitis
- Brush twice a day — fluoride toothpaste, soft brush
- Floss once a day — interdental cleaning
- Professional cleaning every 6 months — scale and polish
- Stop smoking
- Balanced diet — rich in vitamin C
- Regular dental check-ups
- Limit sugary snacks
References
- Trombelli L, Farina R, Silva CO, Tatakis DN. Plaque-induced gingivitis: Case definition and diagnostic considerations. J Clin Periodontol. 2018;45 Suppl 20:S44-S67. PubMed
- Tonetti MS, Greenwell H, Kornman KS. Staging and grading of periodontitis. J Periodontol. 2018;89 Suppl 1:S159-S172. PubMed
- Loe H, Theilade E, Jensen SB. Experimental gingivitis in man. J Periodontol. 1965;36:177-187. PubMed
Have a gum problem? At Derya Dental Clinic in Maltepe we will assess your gum health.
📞 0216 572 05 20 💬 WhatsApp appointment
Related Guides
For more on gum health:
- Gum Recession Treatment — How recession progresses and how to treat it
- Bleeding Gums Causes — What bleeding gums mean
- Dental Scaling and Cleaning — Professional cleaning process
- Bone Loss Treatment — Advanced periodontal disease
Related Treatment Pages
This content is for informational purposes only and does not replace medical diagnosis or treatment. Please consult a specialist for decisions about your oral and dental health.





